側弯症と向き合う: 専門的治療から日常の工夫まで
目次
側弯症とは?
側弯症は、背骨が左右いずれかに異常に曲がる疾患で、見た目の問題だけでなく、重症化すると呼吸や心機能にも影響を及ぼす可能性があります。この病気は、子どもの成長期に特に注意が必要で、早期発見と治療が重要です。側弯症は、単なる姿勢の悪さではなく、医学的な対応を要する健康上の課題です。

側弯症の定義
側弯症は、背骨が正常な直線状態から逸脱し、横向きに曲がる医学的状態を指します。この病状は、背骨の曲がりが10度以上ある場合に側弯症と診断され、主にX線画像を用いて確認されます。
側弯症は、単に背中が曲がっているだけでなく、背骨の曲がりによって内臓に圧迫をかけることもあり、深刻な健康問題を引き起こす可能性があります。この状態は、成長期の子供に最も一般的に見られますが、成人においても発症することがあります。側弯症の診断と治療は、早期に行うことが重要で、進行を遅らせるか、症状を改善することが可能です。
側弯症の原因
側弯症の原因は多様で、先天的な骨格の異常、成長期における骨の成長速度の不均一、神経筋疾患、マルファン症候群や脊髄損傷など特定の健康状態に起因することがあります。また、家族歴が影響することもあり、遺伝的要素が関与する場合もあります。
しかし、側弯症患者の大多数は「特発性側弯症」と診断され、これは明確な原因が特定できないケースを指します。特発性側弯症は主に思春期に発見されることが多く、特に女の子に多い傾向があります。この不明瞭な原因により、早期発見と適切な治療計画の策定が側弯症管理の鍵となります。
側弯症の種類
側弯症は大きく分けて三つの主要な種類があります。
最も一般的なのは「特発性側弯症」で、その原因は特定できず、主に思春期の急速な成長期に発症します。
次に「先天性側弯症」は、胎児期の骨の形成不全により生じ、生まれながらにして背骨が曲がっている状態です。
最後に「神経筋性側弯症」は、筋ジストロフィー、脳性麻痺などの神経筋疾患に関連して発生し、これらの疾患が背骨の正常な成長を妨げることで起こります。これらの種類ごとに治療法や管理方法が異なり、正確な診断が重要となります。

側弯症の症状
側弯症の症状には、背中の明らかな曲がり、肩や腰の高さの不均一、衣服のフィット感の違い、立った時の体の傾きなどがあります。軽度の場合は症状がほとんどないこともありますが、進行すると背中や腰の痛み、さらには呼吸困難を引き起こすことも。早期の発見と治療が、症状の悪化を防ぐ鍵となります。
初期段階の症状
側弯症の初期段階では、痛みはほとんど伴わないため、見た目の変化が主な兆候となります。具体的には、一方の肩がもう一方よりも高くなる、ウエストの形が非対称で片方がより突出して見える、または背中の片側がもう一方よりも高くなるなどの症状が現れます。
これらの変化は、日常生活の中で衣服のフィット感がおかしい、または鏡を見た時に明らかな体の傾斜を感じることで気づかれることが多いです。これらの初期症状は、側弯症が進行する前の重要な警告サインであり、早期発見と治療へのきっかけとなります。
進行した側弯症の症状
側弯症が進行すると、背骨の曲がりが増すことで、背中の持続的な痛みや慢性的な疲労感を引き起こすことがあります。これらの症状は日常生活における活動の質を低下させ、患者の生活の質に大きな影響を及ぼします。さらに、重度の側弯症では、背骨の異常な曲がりが胸腔内の空間を狭め、肺や他の内臓への圧迫を引き起こすことがあります。
これにより、呼吸困難や心臓への負担増加といった深刻な健康問題が生じる可能性があります。また、内臓の圧迫は消化不良や食欲不振などの消化器系の問題を引き起こすこともあります。これらの症状は、側弯症の進行を示す重要なサインであり、適切な治療が必要です。
側弯症が引き起こす他の健康問題
重度の側弯症は、背骨の異常な曲がりが直接的に心臓や肺を圧迫し、これらの重要な臓器の機能障害を引き起こすことがあります。肺が正常に拡張できない場合、慢性的な呼吸不全を引き起こし、十分な酸素が体内に供給されないことで全身の疲労感が増します。また、心臓に対する圧迫は、心臓が血液を効率的にポンプすることを妨げ、循環器系の問題を引き起こす可能性があります。
これらの問題は、患者の日常生活における活動の質を著しく低下させ、運動能力の低下や日常的な作業の遂行能力の低下を引き起こすことがあります。さらに、内臓への圧迫は消化器系の問題を引き起こすこともあり、食欲不振や消化不良などの症状が現れることもあります。これらの健康問題は、側弯症の進行に伴い悪化する可能性があるため、早期の診断と治療が重要です。

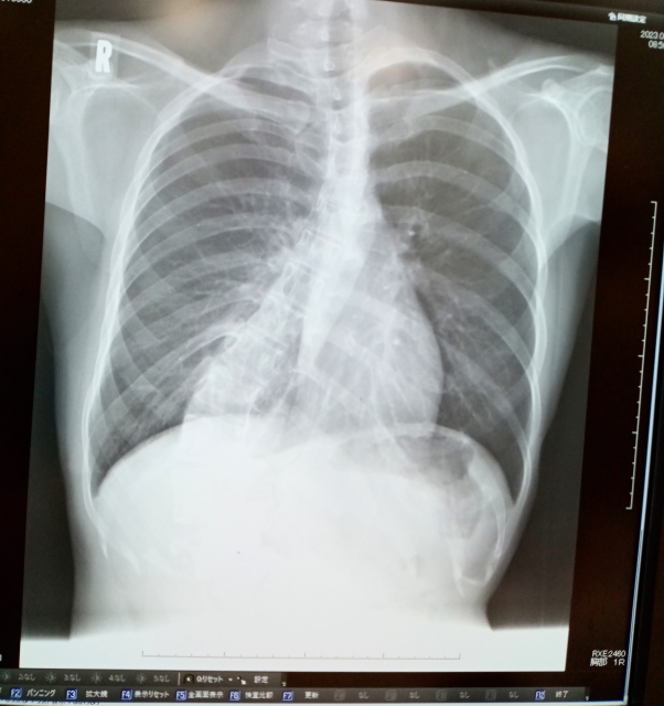
側弯症の診断方法
側弯症の診断には、まず医師が患者の背中を視覚的に検査し、肩や腰の高さの非対称性を確認します。その後、X線検査が行われ、背骨の曲がり具合を正確に測定します。このX線画像を用いて、側弯症の程度を示すコブ角(Cobb角)が計測され、診断に重要な役割を果たします。必要に応じて、MRIなどのさらに詳細な画像診断が行われることもあります。
身体検査
身体検査において、医師は患者の立位姿勢を詳細に観察し、背骨の曲がり具合や肩・腰の高さの違いをチェックします。この検査では、患者に前かがみになってもらい、背中の曲線をより明確に視認します(アダムスの前屈試験)。この試験を通じて、背骨の側弯が疑われる場合、肋骨の隆起や腰部の筋肉の突出が確認されることがあります。
さらに、脚の長さの差や体の全体的なバランスも評価され、側弯症の存在を示唆する重要な手がかりとなります。これらの視覚的および物理的な評価は、側弯症の診断プロセスの初期段階であり、異常が見つかった場合は、X線検査などのさらに詳細な診断手順へと進みます。
画像診断(X線、MRIなど)
画像診断は側弯症の診断と評価に不可欠です。X線検査は、背骨の曲がり具合を詳細に確認し、側弯症の程度を定量的に評価するために広く用いられます。この検査により、コブ角(Cobb角)が測定され、側弯症の重症度が定義されます。
一方、MRI検査は、背骨や周囲の組織の詳細な画像を提供し、側弯症の原因が神経系の異常に関連している場合に特に有用です。MRIは、脊髄や神経根の圧迫、脊髄異常など、X線では捉えられない詳細を明らかにすることができます。これらの画像診断技術は、側弯症の正確な診断、治療計画の策定、および治療の効果をモニタリングするために重要な役割を果たします。
診断時の注意点
診断時、医師は側弯症の現在の程度を評価するだけでなく、その進行の可能性にも注意を払います。これには、患者の年齢、成長の段階、および曲がりの角度(コブ角)が考慮されます。特に成長期にある子どもの場合、側弯症が急速に進行するリスクが高まるため、定期的なモニタリングが必要です。
また、側弯症の原因(特発性、先天性、神経筋性など)によっても治療法が異なるため、正確な診断が治療計画を立てる上で極めて重要です。進行の可能性を評価することで、医師はより個別化された治療計画を提供し、患者に最適な介入を行うことができます。このプロセスは、側弯症の管理と患者の生活の質の向上に不可欠です。

側弯症の治療方法
側弯症の治療法は、症状の重さや進行具合に応じてカスタマイズされます。軽度から中等度の側弯症では、定期的な観察や物理療法、装具療法が推奨されることが多いです。重度の場合や進行が早い場合は、手術的介入が必要になることもあります。
手術では、背骨を直線に近づけるために金属の棒やネジを使用して背骨を固定します。治療の目的は、進行を止め、可能な限り正常な背骨の形状を取り戻すことです。
非手術的治療法
非手術的治療法は、側弯症の軽度から中等度の患者に適用され、主に症状の進行を遅らせることを目的としています。物理療法では、専門の理学療法士が患者の筋力を強化し、柔軟性を向上させるための運動プログラムを提供します。これにより、背骨のサポートが強化され、姿勢が改善されます。
また、装具療法は、特に成長期にある子どもたちに推奨される治療法で、カスタムメイドの装具を使用して背骨の曲がりを積極的に矯正しようと試みます。この装具は日中だけでなく、場合によっては夜間も着用され、背骨が正しい位置に保たれるように設計されています。これらの非手術的治療法は、患者の生活の質を維持しながら、側弯症の進行を管理するための効果的な手段となり得ます。
手術的治療法
手術的治療法は、重度の側弯症や非手術的治療による改善が見られない場合に採用されます。この手術の主な目的は、背骨の曲がりを可能な限り矯正し、将来的な進行を防ぐために背骨を固定することです。手術方法には、脊椎融合術が一般的で、これにより脊椎の動きを制限し、安定させます。手術では、金属の棒やネジを使用して脊椎を直線に近づけ、その位置を保持します。
手術後は、リハビリテーションが非常に重要となり、専門のリハビリテーションチームが患者の回復をサポートします。リハビリテーションプログラムは、筋力を回復させ、柔軟性を向上させることを目的とし、患者が日常生活に戻るための支援を提供します。手術的治療は大がかりなものですが、適切に行われた場合、患者の生活の質を大幅に改善することができます。

側弯症の予防と日常生活での工夫
側弯症の完全な予防は難しいですが、日常生活での姿勢に注意し、定期的な運動を心がけることが重要です。特に、背中と腹部の筋肉を強化する運動は、背骨を支えるのに役立ちます。また、長時間同じ姿勢でいることを避け、定期的にストレッチを行うことで、筋肉のバランスを保ち、側弯症のリスクを低減できます。
側弯症の予防策
側弯症を完全に予防することは困難ですが、いくつかの対策によりリスクを管理し、早期に発見することが可能です。まず、子どもの成長期には定期的な健康診断を受け、背骨の異常がないか注意深くチェックすることが重要です。早期発見により、適切な時期に治療を開始することができます。また、バランスの取れた食事による栄養摂取は、骨の健康を支え、正常な成長を促進します。
カルシウムやビタミンD豊富な食品を意識的に取り入れることが推奨されます。さらに、定期的な運動は背骨を支える筋肉を強化し、側弯症のリスクを減少させることが期待できます。特に、水泳やピラティスなどの全身を使う運動は、背骨の健康維持に役立ちます。これらの予防策は、側弯症のリスクを低減し、健康な背骨の発達をサポートします。
日常生活での姿勢の工夫
日常生活における姿勢の工夫は、側弯症の管理において非常に重要です。長時間座っているときや立っているときには、背骨が自然なS字カーブを保つように意識しましょう。デスクワークをする際には、椅子の高さを調整して足が床にしっかりとつくようにし、腰にクッションを置くことで腰部をサポートします。
また、長時間同じ姿勢を続けることは避け、1時間に一度は立ち上がって体を伸ばすか、簡単なストレッチを行うことが推奨されます。テレビを見る時や本を読む時も、背中がまっすぐになるように意識し、必要であれば背もたれやクッションを使用して姿勢をサポートしましょう。これらの日常的な工夫により、背骨への負担を減らし、側弯症の進行を遅らせることができます。
運動と側弯症
運動は側弯症の管理において重要な役割を果たします。特定の運動が直接側弯症を治療するわけではありませんが、体の全体的な筋力を向上させ、筋肉のバランスを整えることで、背骨を支えることができます。水泳は特に有効で、水の浮力が体を支えるため、関節や背骨への負担が少なく、全身の筋肉を均等に鍛えることができます。
ピラティスも推奨される運動の一つで、コアの強化に焦点を当て、体の中心部の筋肉を鍛えることで姿勢を改善し、背骨への負担を軽減します。これらの運動は、側弯症による痛みの軽減や、進行の遅延に役立つ可能性があります。定期的な運動習慣を身につけることで、側弯症の症状管理に大きく貢献することができます。

側弯症患者のためのサポート体制
側弯症患者とその家族に対するサポート体制には、医療チームからの専門的なケア、心理的サポート、教育資源の提供が含まれます。専門の医師、理学療法士、心理カウンセラーなどが連携し、治療計画の説明、症状の管理方法、日常生活での工夫についてアドバイスを提供します。また、患者や家族が経験を共有し、情報を交換できるサポートグループの存在も重要です。これらのサポート体制を通じて、患者と家族は側弯症と向き合う上での不安を軽減し、治療過程での精神的な負担を和らげることができます。
医療機関との連携
側弯症の効果的な管理には、信頼できる医療機関との継続的な連携が不可欠です。定期的な診察を通じて、症状の変化を追跡し、治療計画を適宜調整することが可能になります。患者と医療提供者との強固な関係は、治療過程における不安や疑問を解消し、患者が自身の健康状態についてより良く理解するのを助けます。
また、専門的な医療チームは、最新の治療法やリハビリテーション技術に関する情報を提供し、患者個々のニーズに合わせたカスタマイズされたケアを実施します。このように、医療機関との連携は、側弯症患者が最適な治療を受け、症状の管理を最大限に行うための基盤となります。
患者サポートグループ
患者サポートグループは、側弯症を抱える人々にとって貴重な精神的支援源となります。これらのグループでは、経験や情報の共有を通じて、患者や家族が直面する困難に対処するための具体的なアドバイスや励ましを提供します。オンラインフォーラムは、地理的な制約に関係なく、同じ悩みを持つ人々が繋がり、サポートし合う場を提供します。
また、地域のサポートグループは、対面での交流を通じて、より深いつながりを築く機会を提供します。これらのグループに参加することで、患者は孤独感を軽減し、側弯症と向き合うための新たな視点や戦略を学ぶことができます。サポートグループは、側弯症の治療過程において、患者とその家族にとって心の拠り所となり得ます。
有益なリソースと情報源
側弯症に関する正確かつ信頼できる情報を得ることは、患者とその家族が不安を感じることなく病状に対処するために非常に重要です。医療機関が提供するパンフレットやウェブサイト、専門医が推薦する教育資料は、側弯症の基礎知識、治療オプション、日常生活での対応策についての理解を深めるのに役立ちます。
また、側弯症に特化した信頼できるオンラインリソースやフォーラムは、最新の研究成果や治療法に関する情報を提供し、世界中の患者や専門家との交流の場を提供します。これらのリソースを活用することで、患者と家族は側弯症に関する包括的な知識を得ることができ、治療選択や日々の生活においてより自信を持って決定を下すことができます。

まとめ
側弯症への理解と適切な対応は、患者さん自身やその家族にとって非常に重要です。この記事を通じて、側弯症の基本的な知識を得ることができ、日常生活での工夫や適切な治療方法の選択に役立てることを願っています。継続的なケアとフォローアップにより、側弯症と共に健やかな生活を送ることが可能です。側弯症に立ち向かうすべての人々に、希望と勇気を提供することが、この記事の目的です。
お問い合わせ
「側弯症に関する悩みや疑問を抱えている」、「専門的な治療方法や日常生活での対処法について詳しく知りたい」とお考えの方は、どうぞ当接骨院までお気軽にご相談ください。
当院では、お一人お一人の症状や体の状態に応じたカスタマイズされた治療プランをご提案し、側弯症による不快感の軽減や予防に向けた日常生活での具体的なアドバイスをご提供いたします。
側弯症と上手に付き合い、健康で充実した毎日を送るためのサポートを心がけています。お問い合わせは、ウェブサイトの問い合わせフォームやお電話にて承っております。ご自身やご家族が側弯症でお悩みの場合は、ぜひ一度ご連絡ください。